FRFAM.COM >> Science >> Santé

Les complices de la tumeur démasqués

Même avec des attaques ciblées, une tumeur déjoue les médecins. Mais en exposant ses hommes de main, il devient une proie facile.

Tout le monde se blesse en tombant ou en grattant une piqûre de moustique irritante. Si cela se produit, notre corps veillera à ce que vous ne le voyiez plus en un rien de temps. Guérir une plaie est en fait une petite affaire pour les soi-disant fibroblastes, qui sont des cellules allongées spéciales qui se trouvent partout dans notre corps.

Lorsque des cellules tumorales malignes se forment dans notre corps, cela ressemble également à une plaie et nos fibroblastes vont partir en guerre en grandes troupes. Ces fibroblastes seront les hommes de main de la tumeur qui contrecarreront notre traitement actuel. Dans mon projet de doctorat, nous avons trouvé un moyen d'attaquer ces hommes de main.

Complices en vue

Les tumeurs utilisent les fibroblastes comme bouclier pour se protéger de notre traitement. Et ce n'est pas tout. Lorsque la nutrition disponible est insuffisante, certaines cellules tumorales peuvent se propager ailleurs dans le corps et nous obtenons des métastases. Mais en fait, ces cellules tumorales n'ont pas du tout la bonne structure pour cela, alors elles utilisent à nouveau les mauvais fibroblastes. Ces derniers se frayent un chemin vers un autre lieu de résidence et les cellules tumorales les suivent dans leur sillage.

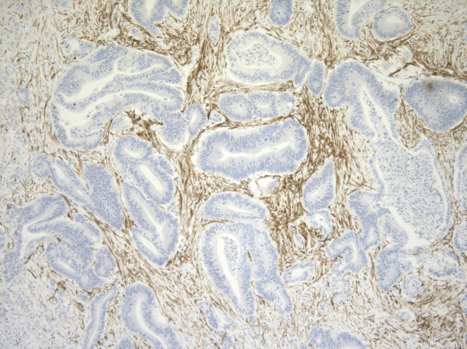
Une tumeur utilise des cellules saines pour échapper au traitement

Grâce à nos recherches, nous avons réussi à démasquer les mauvais fibroblastes par une protéine que nous appelons CD70. Par exemple, nous avons mené une étude à grande échelle chez des patients atteints de cancer colorectal et avons découvert la présence de cette protéine sur le bouclier autour des cellules tumorales malignes. Nos bonnes cellules cicatrisantes n'ont pas cette protéine et nous pouvons donc maintenant attaquer en toute sécurité le bouclier autour de la tumeur.

Nous avons également noté que sans les mauvais fibroblastes, les cellules tumorales sont à peine capables de métastaser. De cette façon, nous avons démasqué les vrais complices de la tumeur, faisant de la tumeur une proie facile pour le traitement actuel.

Les complices de la tumeur démasqués

Système défensif à l'honneur

Cette année, le prix Nobel a été décerné aux découvreurs de l'immunothérapie, dans laquelle nous renforçons notre propre système immunitaire pour détruire la tumeur. Et à juste titre, car 60% des patients atteints de cancer sont désormais guéris, en partie grâce à ce nouveau développement.

Mais pourquoi avons-nous encore l'immunothérapie ? On s'attendrait à ce que notre système immunitaire agisse contre les cellules tumorales elles-mêmes, car il nous protège également contre les cellules étrangères, telles que les bactéries. Les cellules tumorales ont des astuces pour éviter une attaque du système immunitaire. Par exemple, ils peuvent se déguiser en cellules normales pour échapper à notre système immunitaire.

Look intelligent, car notre corps possède des cellules immunitaires spéciales qui garantissent que nos cellules normales ne sont pas toujours attaquées. Les cellules T régulatrices, les «casques bleus» de notre système immunitaire, sont de telles cellules. La tumeur n'a pas raté ça. Dans le cancer colorectal, la tumeur est complètement entourée de casques bleus, engourdissant nos vrais soldats lorsqu'ils arrivent sur le champ de bataille.

Mes recherches ont montré que les mauvais fibroblastes sont toujours près des casques bleus aussi. D'autres recherches en laboratoire ont confirmé qu'il ne s'agissait pas d'une coïncidence.

Les cellules cicatrisantes aident une tumeur à se métastaser et contrecarrent une attaque de notre système immunitaire

Pas les cellules tumorales, mais les mauvais fibroblastes envoient des signaux de survie aux casques bleus, ce qui inhibe notre système immunitaire et la tumeur n'est pas à risque. En attaquant les mauvais fibroblastes, non seulement nous enlevons le bouclier autour de la tumeur, mais nous donnons également un coup de fouet à notre système immunitaire.

Vers un monde sans cancer

De bonnes méthodes de dépistage ont permis de détecter plus tôt le cancer colorectal. En conséquence, nous trouvons souvent les tumeurs alors qu'elles sont encore petites, et le taux de survie de ces petites tumeurs est de 90 %. Néanmoins, sept Belges mourront à nouveau aujourd'hui d'un cancer colorectal, ce qui signifie que de nouveaux traitements sont plus que nécessaires.

Les complices de la tumeur démasqués

Certains patients répondent bien au traitement « classique » :chirurgie, associée à la chimiothérapie et à la radiothérapie, ainsi qu'à l'immunothérapie. Mais avec les grosses tumeurs, cela semble avoir moins de succès. Maintenant que nous avons démasqué les complices de la tumeur, nous pouvons, espérons-le, améliorer considérablement les taux de survie de ces grosses tumeurs également. Nous avons montré que les complices sont responsables de l'échappement de la tumeur au traitement en 1) formant un bouclier autour de la tumeur; 2) inhiber le système immunitaire et ; 3) aider la tumeur à métastaser.

Maintenant que nous savons qu'ils portent la protéine CD70, nous pouvons facilement les attaquer. Heureusement, il existe déjà un plan pour attaquer les cellules contenant le CD70, ce qui raccourcit considérablement le chemin du patient vers un nouveau traitement. Nous nous attendons à ce que sans le bouclier, notre traitement actuel fonctionne et nous nous rapprochons d'un monde sans cancer.

Pour ses recherches sur les fibroblastes, Julie Jacobs (sciences médicales, UAntwerp) a été nominée pour la Flemish PhD Cup 2018. www.phdcup.be


[]